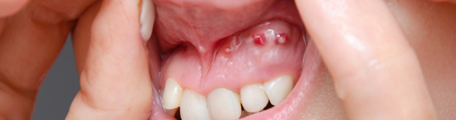
Cysts & Tumours of Mouth & Jaw
Our clinic provides expert diagnosis and management of cysts and tumours of the mouth and jaw. We treat benign and malignant growths with advanced surgical and non-surgical approaches, ensuring complete removal while preserving function and aesthetics. Our team combines precise imaging, personalized treatment planning, and post-operative care to ensure optimal outcomes and long-term oral health.
Services We Offer
Benign Cyst Management: We provide surgical removal and careful monitoring of benign oral and jaw cysts to prevent recurrence and restore oral function.
Jaw Tumour Surgery: Our specialists perform precise surgical excision of jaw tumours with the goal of preserving bone structure, aesthetics, and function.
Oral Tumour Treatment: We manage soft tissue tumours in the mouth using advanced surgical and adjunct therapies, tailored to each patient’s condition.
Reconstructive Surgery: Post-tumour removal, we perform reconstructive procedures to restore facial symmetry, oral function, and appearance.
Follow-Up and Monitoring: Continuous follow-up ensures early detection of recurrence, proper healing, and maintenance of oral health.
Benefits of Cyst & Tumour Management
Timely and precise treatment prevents progression and complications of cysts and tumours in the mouth and jaw.
Advanced surgical techniques minimize tissue damage, preserve aesthetics, and restore function.
Personalized treatment plans are designed for each patient based on the size, type, and location of the lesion.
Comprehensive post-operative care ensures optimal healing and long-term oral health.
Why Choose Us for Cysts & Tumours of Mouth & Jaw?
Our team consists of experienced oral and maxillofacial surgeons skilled in managing complex cysts and tumours.
We use advanced imaging and surgical technology for accurate diagnosis, precise treatment, and minimal invasiveness.
Each procedure is customized to the patient’s lesion type, location, and functional and aesthetic needs.
Comprehensive follow-up care ensures long-term monitoring, healing, and prevention of recurrence.

